Dental Implants
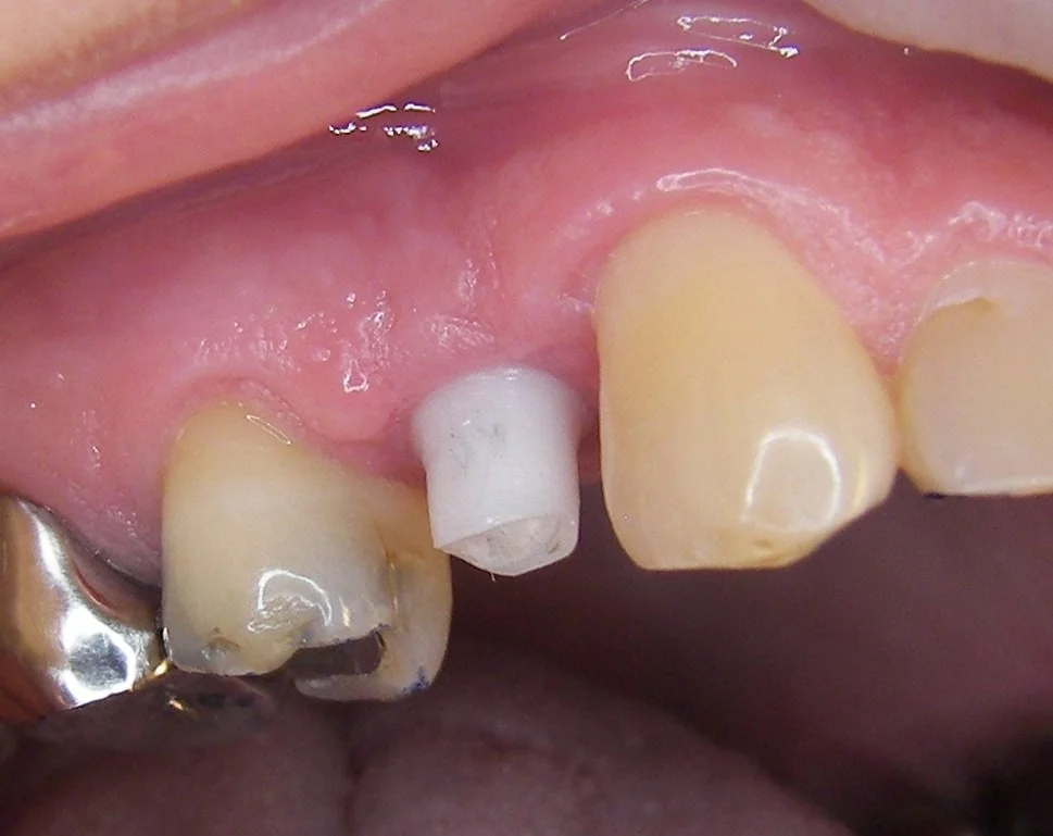
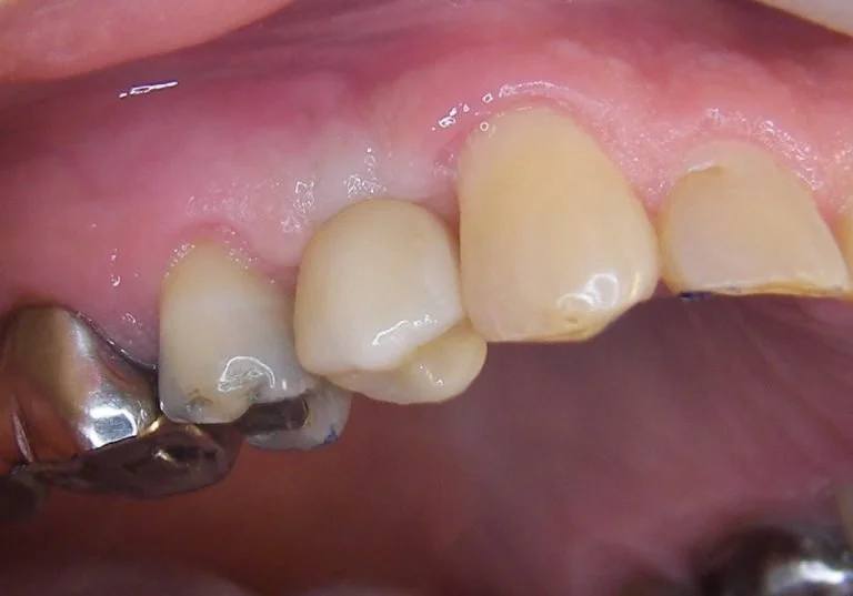
A dental implant is an artificial tooth root used to support restorations that replace a tooth or group of teeth. It is made of titanium and looks like a small screw that is placed down into the bone where a tooth has been lost. This surgical procedure is performed by the Oral Surgeon, sometimes under sedation. Most patients report this procedure to be easier to tolerate than the actual extraction of the tooth. After placement, we wait about 10-16 weeks for complete healing (osteointegration) of the implant. We verify the stability of the implant before placing a crown to complete the restorative process. The result is a strong, stable tooth that very closely mimics the original tooth but lacks sensation (no nerve is present) and does not decay. This treatment is ideal when a tooth is missing because it is independent of the adjacent teeth and does not depend on any other structure for support.
Implants can be used in situations other than just replacing a single tooth. When multiple teeth are lost forming a large gap, we can place 2 or 3 implants in the space and make an implant-supported bridge. Also, for the completely edentulous patient, implants can be placed and the denture can be modified to snap onto them. This stabilizes the denture, preventing movement during chewing and other functional activities such as speaking.
Implant restorations are very common in dentistry today. We have a 95-98% success rate with this treatment, the best rate in all of medicine or dentistry. Ask your doctor here at Molina Dentistry if you think you might be a candidate for this treatment. It can change your life!

